| 患者 | 10歳女の子 |
|---|---|
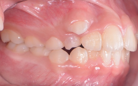
| 相談内容 | 「上前歯が八重歯になってきたのが気になる」とご相談いただきました。 |
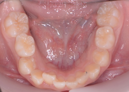
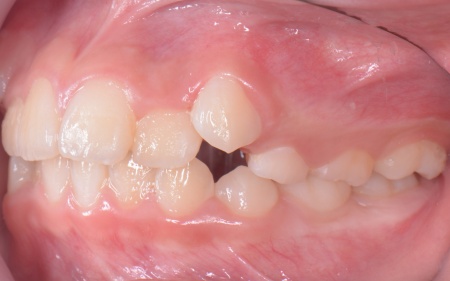
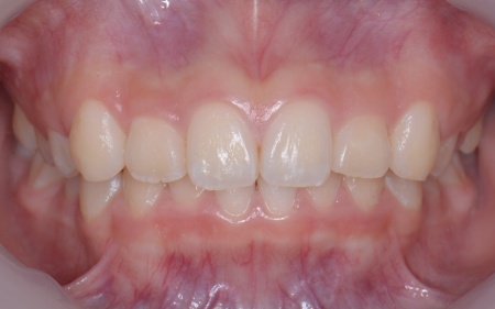
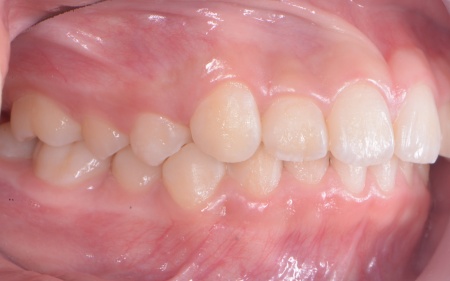
| カウンセリング | 拝見したところ、上の犬歯が歯列の外側に飛び出すように生えている、いわゆる八重歯でした。 さらに、上下の歯全体がデコボコに生えている「叢生(そうせい)」と呼ばれる状態で、これは歯が正しい位置に並ぶためのスペースが不足していることが原因だと考えられます。 このまま放置して顎の成長が完了してから矯正治療を行う場合、歯を並べるスペースを確保することが難しく、永久歯を抜く処置が必要になるケースがあります。 以上のことから、今の段階で歯並びを整える治療が必要だと診断しました。 |
| 治療内容 |
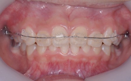
患者様のご家族は「将来的な抜歯はできるだけ避けたいので、今のうちに治療をしたい」と希望されたため、成長期の段階で歯列を広げ、歯が並ぶスペースを確保する小児期の矯正治療「1期矯正」を提案しました。
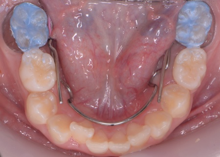
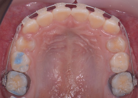
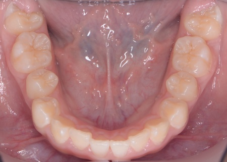
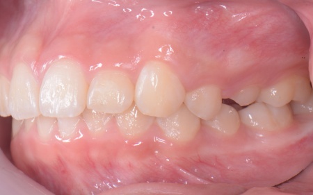
メリット デメリット また、治療にあたりお口全体のバランスを確認したところ口元の突出はなく、顎のサイズはやや小さめですが、成長期であることから歯列の拡大が可能な状態だと判断しています。 以上の内容について丁寧に説明し、治療に同意いただきました。 まず、上顎に顎の骨を広げるための固定式の矯正器具「急速拡大装置」を、下顎には歯並びの幅を広げるための「リンガルアーチ」を装着します。 次に歯の位置を整えるため、ワイヤー矯正を開始します。 最後に、歯並びが整って見た目や噛み合わせにも問題がないことを確認し、装置を取り外して第1期矯正治療を終了しました。 現在も経過観察を継続していますが、歯が元の位置に戻る後戻りも見られず、残っている乳歯から永久歯への生え変わりも順調に進んでいます。 |
| 治療期間 | 約7ヶ月 (矯正装置装着期間) |
| 費用 | 約450,000円 |
| 治療のリスクについて | ・治療中、発音しにくい場合があります ・治療中、舌が動かしにくいことがあります ・治療中、装置によってまれに頬の内側が傷つき、口内炎になる場合があります ・歯の移動に伴って、違和感や痛みを感じる場合があります ・冷たいものを飲んだときに歯がしみる「知覚過敏」の症状が出る場合があります ・正しいブラッシングやメンテナンスを行わない場合、虫歯や歯周病のリスクが高まります |













