お問い合わせ・ご予約はこちらから

03-5903-8467

   

WEB予約

WEB予約

歯周病治療と精密治療で歯を救い、残す。歯周病治療と精密治療で歯を救い、残す。
大塚歯科へのお問い合わせ:03-5903-8467

練馬区上石神井の歯医者さん大塚歯科

当院で
受けた治療が、
“最後の”
治療になるように。

大塚正行院長
大塚歯科の特徴

当院へのご相談では“再治療”という症例が残念ですが大変多くあります。
つまり、一度治したのにもかかわらずまた悪くなってしまったというケースです。

この再治療は、皆さんの歯にとってとても負担が大きく、本来の歯の寿命を大きく削ってしまうことになります。
そのため当院では治療の回数は最小限に抑えるべきと考えています。

私たちができることは2つ。
「治療の精度を高めること」と「丁寧に説明すること」です。

最新機器を使いこなせる技術力、そして科学的に裏付けのある治療法を取り入れることである程度の精度は生み出すことができます。しかし更に上を目指すと、ほんの小さな器具の滅菌方法や院内に流れる水にまで意識を向ける必要があります。

私たちは「ごく小さな変化の積み重ねが治療の結果を変える」と考え、院内全員で少しも妥協をしない技術と設備を整えています。

また治療が終わった後は、患者さんのと協力してその歯を守っていくことになります。
そのためには患者さんも「今回なぜ悪くなってしまったのか」を知っていただく必要があります。
原因を知らずにケアを行うことで、再治療の可能性は高くなってしまうからです。
これが私たちがご説明やお話し合いにこだわっている理由です。

たとえ気軽にご来院いただいてもそれは一つのご縁。
「聞いてみてよかった」の一言のために、私たちにできることはすべて取り組んでいきます。

当院は練馬区上石神井というこの地でこれからも皆様もお口の健康を守り続けてまいります

   

診療メニューMENU

ブログ&コラムINFOMATION

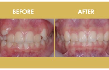
症例ブログ

院長ブログ&コラム

当院についてINFOMATION

大塚歯科
診療時間
9:30~13:00
14:30~19:00
※土曜は18:00まで
駐車場完備
〒177-0044 東京都練馬区上石神井4-7-27
駅徒歩5分
西武新宿線「上石神井駅」より徒歩5分
医療費控除バナー
初診WEB予約ボタン

PAGE TOP