| 患者 | 70代男性 |
|---|---|
| 相談内容 | 「右上の奥歯がしみる」とご相談いただきました。 |
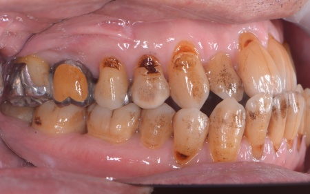
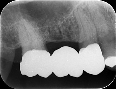
| カウンセリング | 拝見したところ、右上の奥歯には複数の歯をつないだ被せ物であるブリッジが入っていましたが、被せ物の内部で虫歯が再発していました。 レントゲンを撮影して詳しく調べた結果、虫歯は比較的大きく歯の神経に近い深さまで進行していることが確認できました。 このまま放置すると、神経に炎症が起こって強い痛みが出る、神経が死んでしまい歯を温存できなくなるといった可能性があります。 以上のことから、ブリッジを取り外して虫歯を治療する必要があると診断しました。 |
| 治療内容 |
診断結果を丁寧に説明したうえで、治療法として以下2つをお伝えしました。
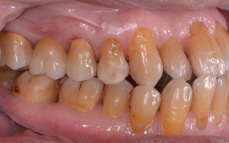
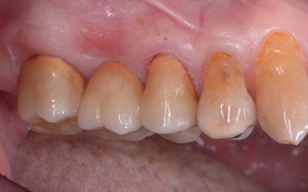
①MTA歯髄温存療法(神経を残す治療) ②根管治療(神経を取る治療) 患者様は「歯を長持ちさせたい」との希望から、①MTA歯髄温存療法を選択されました。 まずブリッジを慎重に取り外し、虫歯を確認します。 数週間後、しみたり痛んだりする症状は認められず、コールドテストとバイタルテストでも歯の神経が問題なく機能している状態であると判断できました。 神経が温存できていることを確認できたため精密な型取りを行い、虫歯の再発リスクが低く強度も高いセラミックのジルコニアでブリッジを新たに作製しました。 |
| 治療期間 | 3ヶ月 |
| 費用 | 約475,000円 (MTA歯髄温存療法・ジルコニアブリッジ) |
| 治療のリスクについて | ・治療中に痛みを伴う場合があります ・ブリッジの装着に際し、天然歯を削る必要があります ・土台となる歯に負担がかかるため、将来的に歯が揺れたり、歯の根が割れたりする可能性があります ・硬い素材の場合、他の天然歯を傷つけることがあります ・噛み合わせや歯ぎしりが強い場合、セラミックが割れる可能性があります ・一部の治療を除き、自費診療(保険適用外治療)です |






