
当院では、歯並びの改善のみならずかみ合わせの改善という視点で矯正治療を考えております。
歯が悪くなってしまった根本的原因として歯並びやかみ合わせの悪さがあります。 歯並びやかみ合わせが悪い環境でただ単に悪いところだけを治療してもまた悪くなってしまいます。根本的解決にはなりません。
歯の位置を正し、かみ合わせを正した後に被せ物を入れなおす必要があります。
当院の特徴として
一人のドクターが矯正治療も行え、虫歯治療や歯周病、かみ合わせ治療、インプラント治療にも精通していますので、複雑で困難な症例に対しても長持ちする治療結果をお約束いたします。
部分矯正は、M.T.M(Minor Tooth Movement)、あるいはLOTなどと呼ばれ歯のちょっとした凹凸を整えたり、前歯のすきっ歯を治すなど限局的な矯正法です。
特徴としては
歯と歯の間を少し削ったり(ディスキング)、歯を少し外側へ押し出したりしてスペースを確保し、その部分だけの歯並びを改善します。
またクラウンやブリッジの治療やインプラント治療を行う際に、歯の位置や傾斜などの歯並びの一部を事前に修正する場合に有効な治療法です。 歯の位置を修正することで歯の負担が減り、結果被せ物が長持ちすることになります。
エクストリュージョン

矯正用ミニインプラントによるアップライト

叢生に対するレベリング

マウスピース矯正や目立たないワイヤー矯正も取り入れていますので、患者様個々のご要望、歯の状態などに合わせて、ベストな矯正方法を提案いたしますのでご相談下さい。
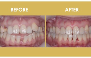
症例1
治療前
治療後
| 主訴 | 「前歯のデコボコを治したい」とご相談いただきました。 |
|---|---|
| 年齢/性別 | 10代女性 |
| 治療期間 | 約1年6ヶ月 |
| 費用 | 100万(税別) |
| 治療のリスク |
・装着中は発音がしにくい場合があります ・矯正中、舌が動かしにくいことがあります ・治療中、装置によってまれに頬の内側が傷つき、口内炎になることがあります ・歯の移動に伴って、違和感や痛みを感じる場合があります ・冷たいものを飲んだときに歯がしみる「知覚過敏」の症状が出る場合があります ・リテーナーを使用しないと後戻りをする可能性があります |
| クリニックより | 当院の矯正治療では、見た目や噛み合わせの改善のみならず、気道を広げることによる睡眠呼吸の改善も考慮に入れた治療を行っております。 |
症例2
治療前
治療後
| 主訴 | 「上下前歯の歯茎から出血する」とご相談いただきました。 |
|---|---|
| 年齢/性別 | 40代女性 |
| 治療期間 | 1年2ヶ月 |
| 費用 | 80万(税別)※矯正部分 |
| 治療のリスク |
・治療中、発音しにくい場合があります。 ・治療中、装置によってまれに頬の内側が傷つき、口内炎になる場合があります。 |
症例3
治療前
治療後
審美治療
審美治療
審美治療
ご予約・お問い合わせ03-5903-8467
| 診療時間 | 月 | 火 | 水 | 木 | 金 | 土 | 日 | 祝 |
|---|---|---|---|---|---|---|---|---|
| 9:30~13:00 | ● | ● | ● | ● | ● | ● | ― | ― |
| 14:30~19:00 | ● | ● | ― | ● | ● | ○ | ― | ― |
| ※土曜は18:00まで | ||||||||