
顎顔面矯正治療とは、発育期の子供のあごに専用の装置を用いて不正咬合を治す治療法です。
不正咬合とは、歯を支えている骨や上下のあごのアンバランス(=発育不良)などが原因で起きている悪い歯並びのことです。
不正咬合があると、あごが前後や横にずれて顔のバランスが悪くなるとともに、食べ物が咬めない・飲み込めない・しゃべりにくい(口腔機能の不良)、鼻で呼吸ができない、口呼吸(呼吸機能の不良)、姿勢が悪いなどの機能異常がみられます。
あごの発育に問題があったり、歯が大きすぎたり、歯の生える位置がおかしかったりすることで不正咬合は起こります。
遺伝によりあごの骨の形や大きさが親に似てしまうことや、頬づえ・指しゃぶりなどの悪習癖であごが歪んでしまうこと、またよく噛まずに食べるため口の周りの筋肉や顎の成長が弱いことで起こることもあります。そして多くは口呼吸がその原因に関係しています。
鼻閉やアデノイド(咽頭扁桃)肥大で気道が狭くなると鼻呼吸がしづらくなり口で呼吸するようになります。口をポカンと開けていることによってほっぺからの内向きの圧力が強くなり、上顎の歯列が押され先の尖った逆V字型になっていきます。また口呼吸しやすいように舌の位置を無意識のうちに下げてしまいます。そうするとさらに歯列が乱れていきます。
顎顔面矯正治療によりあごの発育に問題があるところを正常に戻すとともに機能訓練を行い、歯並びや顔のバランス良くし、口や呼吸、姿勢などの機能も改善します。 あごを大きくすることで抜歯を避けられることが多く、治療後の後戻りもありません。
また、上顎の骨を広げ、狭い鼻腔や気道も広がり、鼻づまりやぜんそくの改善、いびきの軽減も期待されます。 下顎も広がることで正常な舌運動が行えるようになります。
症例に応じて以下の装置を用いて治療を行います。装置は取り外しをしないものを用います。通院は1か月に1回程度です。 装置を装着する期間は6か月から2年程になります。
顎顔面矯正治療は永久歯列完成までが終了目安となります。歯が並ぶ土台を整える治療であり、歯をきれいに並べる治療はⅡ期治療(いわゆる大人の矯正)となり別途費用がかかります。
適応年齢は、受け口の場合は5歳から治療を開始することもあり、できるだけ低年齢で治療を開始することが理想です。 5~7,8歳から治療をお勧めしています。(症例による)
上顎





下顎

機能的矯正装置

症例1
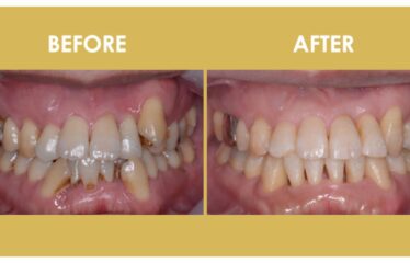
10代女性「前歯がデコボコして傾いているのを治したい」とご相談いただきました。
前歯2本(左上下の側切歯/2番)が内側に入り込んでいました。

上顎の横幅を広げるために、固定式の装置「急速拡大装置」を使用しました。
「ワイヤー矯正」を上下の歯に装着し、全体的に歯並びを整えました。

顎が順調に拡大した結果、患者様のご希望通り、抜歯をせずに歯並びを整えることができました。
上下ともに歯が正しい位置にまっすぐ並び、お口全体でしっかり噛めるようになりました。

症例2
10歳女の子「はみ出している八重歯を治したい」とご相談をいただきました。
上顎の骨が発育不足で狭く、そのため左上の八重歯(犬歯/3番)が外向きにはみ出すように生えていました。

上顎には、「急速拡大装置」を永久歯に引っかけて装着し、歯を正しく並べるスペースを確保しました。
下顎には、「リンガルアーチ」を装着し、奥歯の傾きを改善しました。

歯を抜かずにきれいな歯並び・噛み合わせに導くことができました。

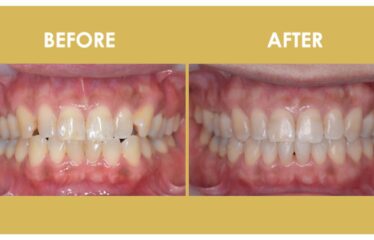
症例3
6歳男の子「前歯が反対になっている、歯並びが心配」とのことでご来院されました。
上顎の急速拡大を行うことで側方に拡大し、同時に前方牽引装置を使用して上顎骨の前方への成長を促すこととしました。

上顎に乳歯を固定源とした「急速拡大装置」を装着しました。
下顎は「リンガルアーチ」を装着し、奥歯の傾斜を改善しました。

矯正治療は保険適応外(自由診療)です。医療費控除の対象となります。
| 矯正検査診断料 | 30,000円(税別) |
|---|---|
| 顎顔面矯正治療 | 450,000円(税別) |
みなさんが気になることを、今すぐ解決! 当院では、きちんと納得していただいてから治療を始めるので安心です。
Q1 何歳ぐらいから始めるといいですか?
Q2 期間はどれくらい必要ですか?いつ頃終わりますか?
Q3 来院間隔はどれくらいですか?
Q4 費用はどれくらい必要ですか?
Q5 装置は治療期間ずっと着けているのですか?
Q6 装置は壊れることはないですか?
Q7 装置は見えますか?
Q8 装置による痛みはありますか?
Q9 装置を着けていると歯磨きしにくそうですが、むし歯になりませんか?
Q10 装置は自分で取り外せますか?
Q11 装置を着けていて食事や会話など日常生活に支障はありませんか?
Q12 スポーツに支障はありますか?
Q13 管楽器は吹けますか?
Q14 後戻りはありますか?
ご予約・お問い合わせ03-5903-8467
| 診療時間 | 月 | 火 | 水 | 木 | 金 | 土 | 日 | 祝 |
|---|---|---|---|---|---|---|---|---|
| 9:30~13:00 | ● | ● | ● | ● | ● | ● | ― | ― |
| 14:30~19:00 | ● | ● | ― | ● | ● | ○ | ― | ― |
| ※土曜は18:00まで | ||||||||