| 患者 | 50代女性 |
|---|---|
| 相談内容 | 「右下奥歯がうずいて痛むようになった」とご相談いただきました。 |
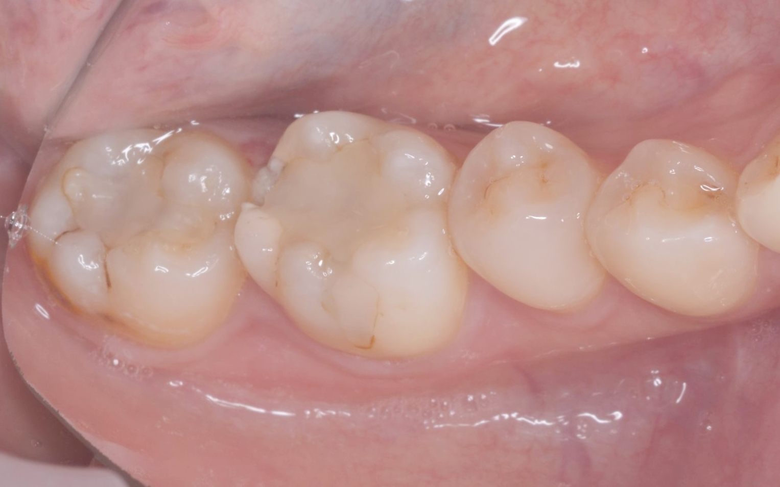
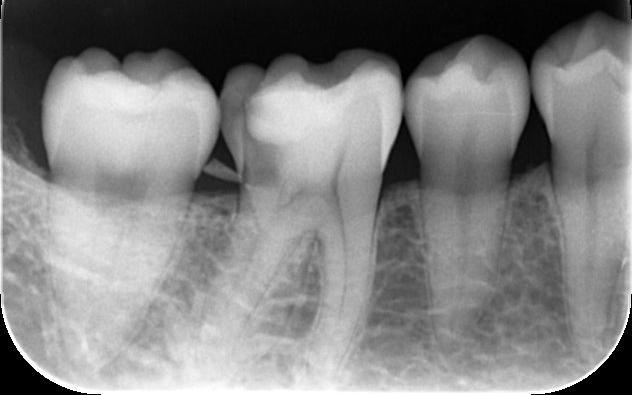
| カウンセリング | 拝見したところ、右下奥歯には歯槽骨(歯を支える骨)の近くまで進行している虫歯が認められました。通常の虫歯治療では、治療が困難な状態です。
このまま治療を行うと被せ物と歯の境目が歯茎の中に埋もれてしまい、結果として細菌が侵入しやすい状態になり、虫歯や歯周病のリスクが高まってせっかくの治療が長持ちしないおそれがあります。 以上のことから、歯の境目を歯茎の上に出す処置を行ってから、虫歯を治療する必要があると診断しました。 |
| 治療内容 |
歯茎を一時的に切開して健全な歯質を適切な位置に露出させ、歯茎の高さを調整して被せ物と歯の境目を歯茎の縁より上に出す「歯周外科手術」を提案しました。
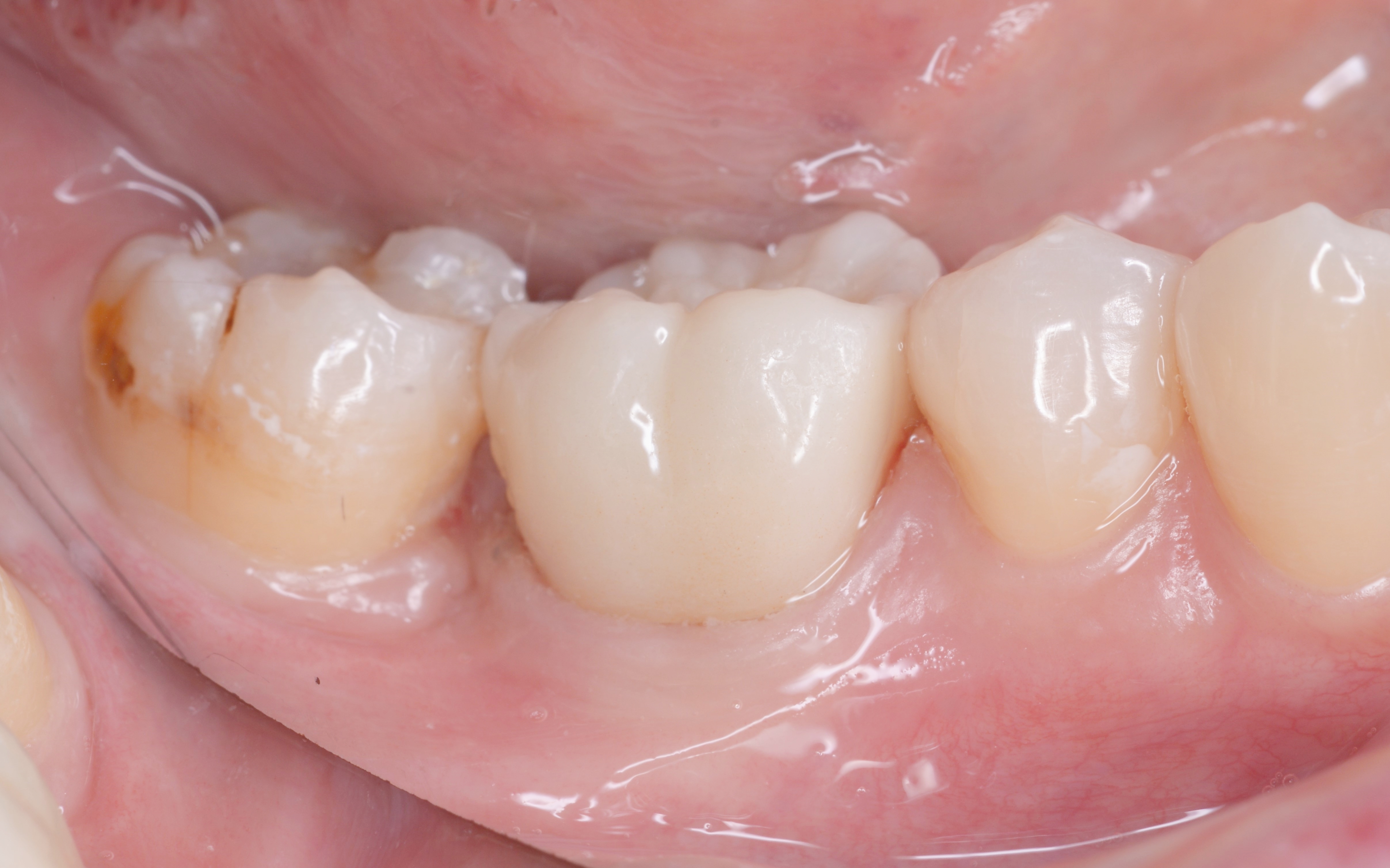
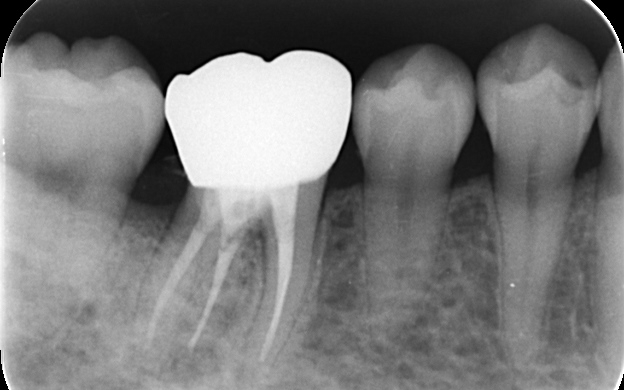
この治療は歯周病の再発リスクを大幅に減らし、長期間安定した状態を保つことができる方法です。 まずは歯周外科手術を行い、歯槽骨を必要な分だけ慎重に除去します。その後、健全な歯質が骨の縁から約3mm上に位置するよう精密に調整し、細菌の侵入を長期間防げる状態に整えました。 手術後は、歯茎と骨の状態が安定するまで経過観察を行い、十分に治癒したことが確認できたあと、顕微鏡を使用した「精密根管治療」を実施します。 続いて、歯の土台となるファイバー支台(ファイバーコア)を作製します。 土台が完成したあとは、被せ物を作製するための精密な型取りを行います。 最後に、完成したジルコニアセラミッククラウンを装着し、噛み合わせや見た目などに問題がないことを確認して、治療を終了しています。 |
| 治療期間 | 約6ヶ月 |
| 費用 | 約305,000円 (歯周外科、精密根管治療、ファイバーコア、ジルコニアセラミッククラウン) |
| 治療のリスクについて | ・外科処置後に腫れ、出血が生じる場合があります ・外科処置後に痛みが長引く場合があります。必要に応じ痛み止めを併用します ・外科処置後のメンテナンスを怠ると、良好な結果が得られない可能性があります ・まれに根管治療後も再治療、外科手術、抜歯などの処置が必要となる場合があります ・治療中や治療後に不快症状が出たり、治療後に痛みや腫れなどが生じたりする可能性があります ・硬い素材の場合、他の天然歯を傷つけることがあります |


歯周外科手術を行いました。
精密根管治療を行いました。
精密な型取りを行いました。

