| 患者 | 40代女性 |
|---|---|
| 相談内容 | 「右下の奥歯が噛むと痛い」とご相談いただきました。 |
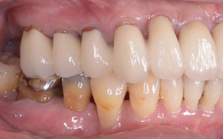
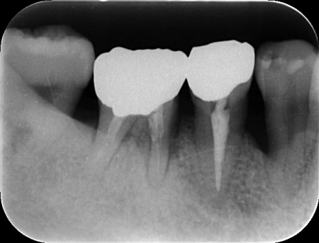
| カウンセリング | 拝見したところ、右下の奥歯(第1大臼歯)に歯根破折が確認でき、これが痛みの原因だと考えられます。 歯根破折をそのまま放置すると、歯を支える骨の吸収が進んだり周囲の歯茎が炎症を起こしたりする可能性があります。 そこで、レントゲン検査などで詳しく確認した結果、ひびは根の深い部分まで達しており、残念ながら歯を温存することは困難です。 また、その手前の小臼歯は、過去の治療で装着した詰め物の下で虫歯が再発する二次カリエスが見つかりました。このまま放置すると虫歯がさらに広がる可能性があります。 以上のことから、右下の大臼歯は抜歯後に欠損を補う治療、手前の小臼歯は虫歯の再治療が必要と診断しました。 |
| 治療内容 |
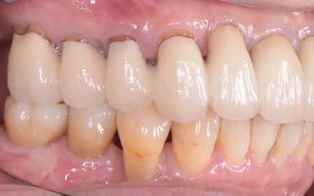
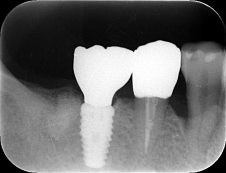
患者様は「できるだけ治療期間を短くしたい」と希望されていることから、右下の第1大臼歯は抜歯即時埋入インプラントを提案しました。 抜歯即時埋入インプラントとは、抜歯と同日に人工歯根「インプラント体」を埋め込む方法です。 これにより、通常のインプラントと比べて治療期間を短縮することができます。 なおこの方法は、骨の量・質・感染の有無・歯ぐきの状態などの条件があり、すべての症例で行えるわけではありません。 また、大臼歯周囲は、歯の周りを保護する硬い歯ぐき「角化歯肉」が不足していました。 手前の小臼歯については「同じ歯の治療を繰り返したくない」とのご希望から、精密補綴治療を提案しました。 それぞれの治療内容を丁寧に説明したところ、すべての治療に同意いただきました。 まず、大臼歯の抜歯から行います。 次に、小臼歯に関しては古い詰め物を取り外し、マイクロスコープを用いて拡大視野のもとで歯の形を整えて型を採り、精度の高いセラミックの被せ物を作製・装着しました。 |
| 治療期間 | 約5ヶ月 |
| 費用 | 約765,000円 (抜歯即時インプラント・角化歯肉移植・セラミッククラウン) |
| 治療のリスクについて | ・外科手術のため、術後に痛みや腫れ、違和感を伴います ・メンテナンスを怠ったり、喫煙したりすると、お口の中に大きな悪影響を及ぼし、インプラント周囲炎などにかかる可能性があります ・装着に際し、天然歯を削る場合があります ・噛み合わせや歯ぎしりが強い場合、セラミックが割れる可能性があります ・治療中や治療後に不快症状が出たり、治療後に痛みや腫れなどが生じたりする可能性があります ・自費診療(保険適用外治療)です |





