| 患者 | 60代女性 |
|---|---|
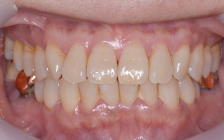
| 相談内容 | 「左右の奥歯がグラグラしていて、固いものが噛みにくい」とご相談いただきました。 |
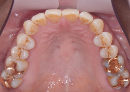
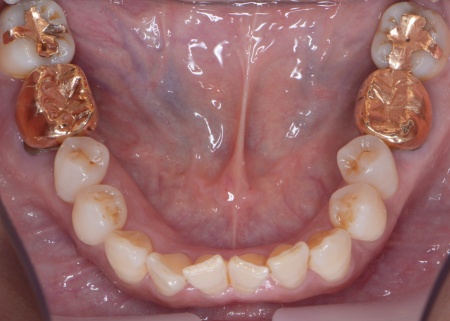
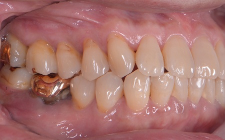
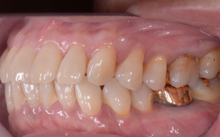
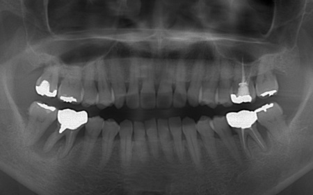
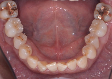
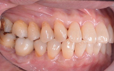
| カウンセリング | 拝見したところ、上下左右の奥歯計8本(第1大臼歯、第2大臼歯)に重度の歯周病が認められました。 歯周病は歯を支えている骨や歯ぐきに炎症が起こる病気です。進行すると歯がぐらついたり、噛む力が弱くなったりします。 さらに悪化すると歯を失う可能性が高くなるだけでなく、周囲の歯にも影響が広がることがあります。 特に下の奥歯2本(左右第1大臼歯)は歯を支えている骨が著しく減少して歯が大きく揺れており、治療して温存することは難しい状態でした。 また、左上の奥歯(第1大臼歯)は過去に詰め物で治療されていましたが、その下で虫歯が再発しています。 以上のことから、下左右の第1大臼歯は抜歯後に歯を補う治療、その他奥歯の治療、再発した虫歯の治療が必要と診断しました。 |
| 治療内容 |
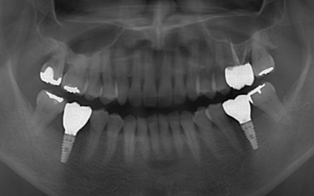
診断結果を踏まえ、まず下左右の第1大臼歯については抜歯したあとにインプラントで補う方法を提案しました。
インプラント治療は、周囲の歯を削ることなく失った歯の部分のみを単独で補うことができます。 ただし、外科手術が必要となり治療期間が比較的長くなる点がデメリットです。 次に歯周病が認められるその他の奥歯については、歯周組織再生療法を行いできるだけ歯を抜かずに残す方法を提案しました。
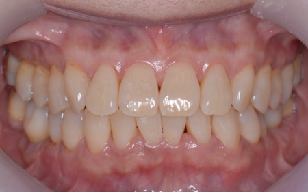
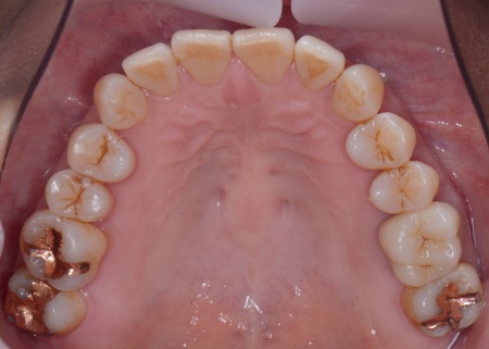
さらに虫歯が再発していた左上奥歯については、虫歯をしっかりと取り除いたうえで被せ物による修復治療を提案しました。 それぞれのメリット・デメリットを丁寧に説明したところ、治療計画に同意いただきました。 まず、歯周基本治療から開始しました。 下左右の第1大臼歯を抜歯し、その部位にインプラントを埋め込む手術を行いました。同時に、インプラントの隣にある下の第2大臼歯に対して歯周組織再生療法を施しています。 また、左上の奥歯は虫歯を取り除いたあと、歯の形を整えて型取りを行い、最終的にジルコニアクラウンを装着しています。 段階的に治療を進め、すべての治療を終了しました。 |
| 治療期間 | 約1年2ヶ月 |
| 費用 | 約1,930,000円 【内訳】 歯周組織再生療法4ヶ所、インプラント2本、角化歯肉移植、ジルコニアクラウン |
| 治療のリスクについて | ・外科手術のため、術後に痛みや腫れ、違和感を伴います ・メンテナンスを怠ったり、喫煙したりすると、お口の中に大きな悪影響を及ぼし、インプラント周囲炎等にかかる可能性があります ・糖尿病、肝硬変、心臓病などの持病をお持ちの場合、インプラント治療ができない可能性があります ・高血圧、貧血・不整脈などの持病をお持ちの場合、インプラント治療後に治癒不全を招く可能性があります ・治療後に正しい歯磨きやメンテナンスを怠ると、虫歯や歯周病が再発する場合があります ・噛み合わせや歯ぎしりが強い場合、セラミックが割れる可能性があります |















