| 患者 | 50代女性 |
|---|---|
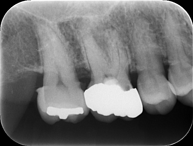
| 相談内容 | 右上の奥歯で固いものが咬めない、歯茎から血が出るとのことで来院されました。 |
| カウンセリング | 中等度歯周病であり、根の病気にもなっていました。 |
| 治療内容 | 根管治療後、歯石を確実に取り骨の形を整えるために歯周外科手術を行いました。 その後、型取りを精密に行いセラミック修復を行いました。 |
| 治療期間 | 約3カ月 |
| 費用 | 歯周外科治療 5.5万円 セラミック 13.2万円 |
| 治療後 | 術後の経過は良好で、根の病気も完治しメンテナンスに移行しました。 |
| リスク | ・セラミックの使用環境によって外れてしまうことがあります。 ・強い食いしばりや硬度の高いものを誤って噛むと割れてしまうことがあります。 ・外科手術のため術後に腫れや痛み、違和感を伴います。 ・メンテナンスを怠ると歯周病が再発する可能性があります。 |




