| 患者 | 40代男性 |
|---|---|
| 相談内容 | 「歯並びと噛み合わせについて長年悩んでいるので、しっかりと治したい」とご相談いただきました。 |
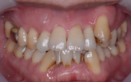
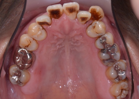
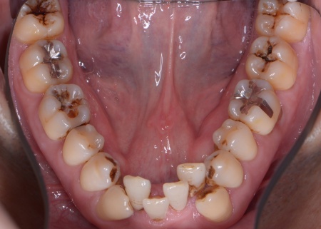
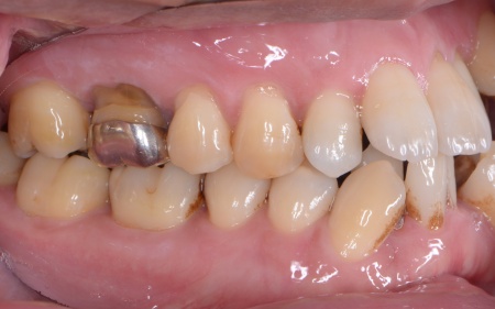
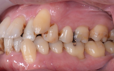
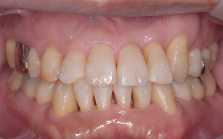
| カウンセリング | 拝見したところ、上下の歯は、ずれたりねじれたりしてデコボコに生えており、著しく歯並びが乱れていました。
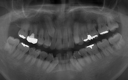
またレントゲン撮影をして確認すると、右上前歯は顎の骨の中に埋まっている骨性埋伏(こっせいまいふく)の状態でした。 さらに、左下奥歯は重度の歯周病であり、歯を支えている骨が一部溶けていることが判明しました。 以上のことから、歯並びを整える矯正治療と歯周病の治療を併せて行う必要があると診断しました。 |
| 治療内容 |
患者様はまだお若く「先の人生を考えて、歯を失うリスクを最小限にしたい」と希望されていたため、以下の治療計画を提案し、同意いただきました。
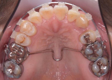
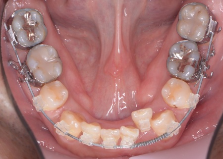
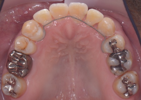
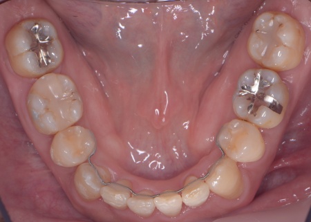
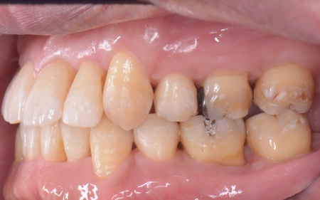
①抜歯をしてから歯並びを整える「抜歯矯正」 今回のケースでは、左上下の奥歯各1本(第3大臼歯)、右下の奥歯1本(第3大臼歯)、左上下と右下の奥歯各1本(第1小臼歯)の計6本の抜歯が必要です。 また、奥歯の噛み合わせは正常だったことから、それを維持しながら歯並びを整えるために以下の方法を採用します。 ②矯正治療後、歯周病を発症している左下奥歯(第1大臼歯)を温存するために、失われた骨や歯茎を再生する「歯周再生療法」を行う まずは歯の移動スペースを確保するために、計6本の歯を抜きます。 矯正治療終了後、歯の後戻りを防ぐため、上下前歯の裏側にワイヤーを接着して固定させる「フィックスリテーナー」を装着しています。 その後、左下奥歯に歯周再生療法を行って歯周病が改善したことを確認し、治療を終了しました。 |
| 治療期間 | 約2年 |
| 費用 | 約1,150,000円 (矯正治療・歯周再生療法) |
| 治療のリスクについて | ・治療中、発音しにくい場合があります ・歯の移動に伴って、違和感や痛みを感じる場合があります ・冷たいものを飲んだときに歯がしみる「知覚過敏」の症状が出る場合があります ・持病をお持ちの方や、服用中のお薬の種類によっては、外科処置ができない場合があります ・外科処置後に腫れ、出血が生じる場合があります ・外科処置後のメンテナンスを怠ると、良好な結果が得られない可能性があります |















