| 患者 | 20代男性 |
|---|---|
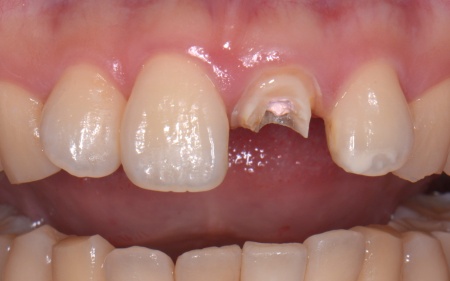
| 相談内容 | 「食事中に左上の前歯が折れてしまった」とご相談いただきました。 |
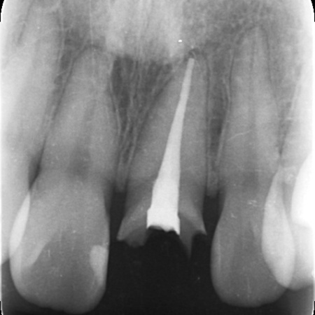
| カウンセリング | お口の中を拝見したところ、左上の前歯が大きく折れて被せ物を支える土台ごと外れていました。 レントゲン検査で確認した結果、歯の根自体には問題がなく炎症も見られなかったため、適切な治療を行えば歯を残せる状態であることが判明しました。 このまま放置した場合、残った歯根に細菌が入り込んで炎症を起こしたり、隣の歯に余計な負担がかかったりする可能性があります。 以上のことから、折れた歯を補う治療が必要と診断しました。 |
| 治療内容 |
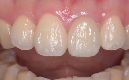
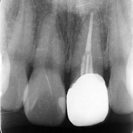
患者様は「できるだけ自分の歯のように自然な見た目にしてほしい」とご希望です。 そこで、白いグラスファイバーを用いた土台(ファイバーコア)に白い被せ物(ジルコニアセラミッククラウン)を装着する治療を提案し、同意いただきました。 ファイバーコアは光を通す素材のため自然な透明感があり、歯根への負担が少ないことが特徴です。 ジルコニアセラミッククラウンは、強度の高いジルコニアのフレームの上にセラミックを何層にも盛って焼き付けるレイヤリングを施した被せ物です。 治療初日は歯がないことで生じる不便さや見た目への影響に配慮し、その場で仮歯を作製して装着しました。 土台が完成したあとは歯科用顕微鏡のマイクロスコープで確認しながら、被せ物をスムーズに装着できるよう歯の形を丁寧に整えました。 その後、変形しにくいシリコン素材で精密な歯型を採取し、それをもとにジルコニアセラミッククラウンを作製しています。 |
| 治療期間 | 約2ヶ月 |
| 費用 | 約200,000円 (ファイバーコア、ジルコニアセラミッククラウンレイヤリング) |
| 治療のリスクについて | ・装着に際し、天然歯を削る場合があります ・硬い素材の場合、他の天然歯を傷つけることがあります ・噛み合わせや歯ぎしりが強い場合、セラミックが割れる可能性があります ・一部の治療を除き、自費診療(保険適用外治療)です |



