| 患者 | 50代女性 |
|---|---|
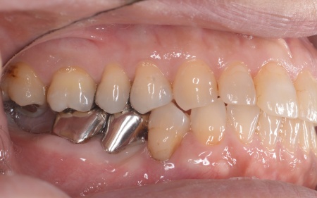
| 相談内容 | 「噛むと右下の奥歯が痛む」とご相談いただきました。 |
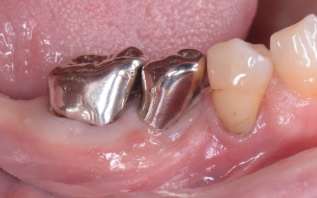
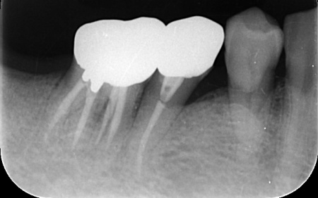
| カウンセリング | 拝見したところ、右下奥歯2本が噛むと痛む状態でした。 これらの歯は、以前神経を除去する処置を行っており、その後銀歯にされていたとのことです。 詳しく調べるためにレントゲン撮影を行った結果、どちらの歯も歯根が割れていることが確認できました。 歯根が割れた歯は元の状態に戻すことができず、そのまま放置すると炎症が広がって周囲の骨や隣接する歯に悪影響を及ぼすリスクがあります。 以上のことから、抜歯をしたうえで歯を補う治療が必要だと診断しました。 |
| 治療内容 |
抜歯後の治療について、以下2つの方法を提案しました。
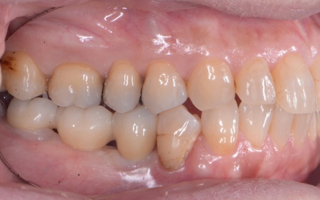
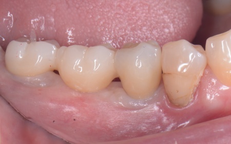
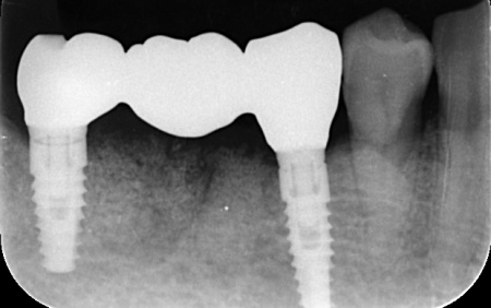
①入れ歯 ②インプラント それぞれのメリットとデメリットをお伝えしたところ、患者様は「できるだけ違和感がなく噛めるようになりたい。またなるべく短期間で治療を終えたい」と希望されたため、抜歯と同時にインプラントを埋め込む抜歯即時埋入法を提案し、同意いただきました。 まず、右下奥歯(第2小臼歯、第1大臼歯)を抜きます。 抜歯後にできた穴とインプラントの間には隙間が生じるため、骨の再生を助ける目的で骨補填材を使用しながら、丁寧に縫合しました。 3ヶ月後、インプラントと骨がしっかりと結合したことが確認できたため、被せ物を作製するための型取りを行います。 後日、完成した被せ物を装着し、見た目や噛み合わせに問題がないことを確認して、治療を終了しています。 |
| 治療期間 | 約3ヶ月 |
| 費用 | 約1,200,000円 |
| 治療のリスクについて | ・持病をお持ちの方や、服用中のお薬の種類によっては、外科処置ができない場合があります ・外科手術のため、術後に痛みや腫れ、違和感を伴います ・メンテナンスを怠ったり、喫煙したりすると、お口の中に大きな悪影響を及ぼし、インプラント周囲炎などにかかる可能性があります ・高血圧、貧血・不整脈などの持病をお持ちの場合、インプラント治療後に治癒不全を招く可能性があります ・噛み合わせや歯ぎしりが強い場合、セラミックが割れる可能性があります ・自費診療(保険適用外治療)です |








