| 患者 | 20代女性 |
|---|---|
| 相談内容 | 「右上と左下の奥歯が痛い」とご相談いただきました。 |
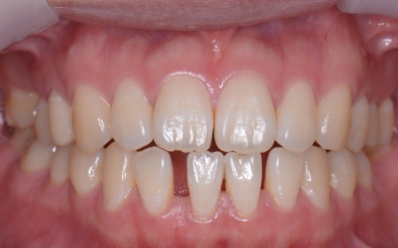
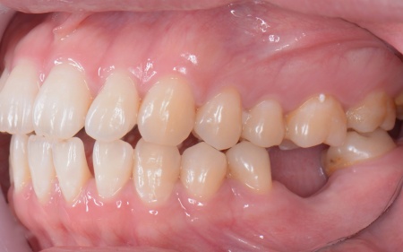
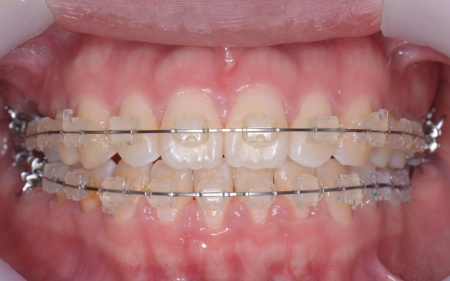
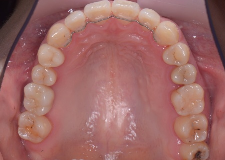
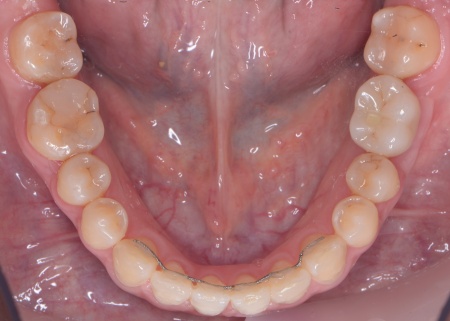
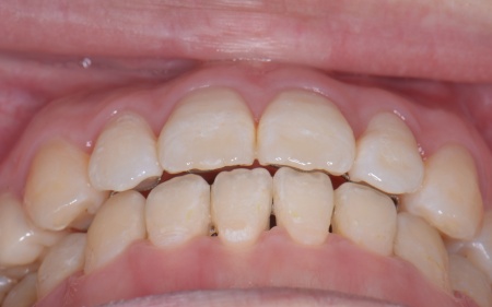
| カウンセリング | 拝見したところ、右上と左下の奥歯に強い痛みが出ていました。 レントゲンで確認した結果、どちらも歯の根が割れていることが判明しました。 歯の根が割れたまま放置すると噛むときの痛みが続くだけでなく、炎症が広がって周囲の歯や骨にまで影響を及ぼすおそれがあります。 また、上下の歯を噛み合わせた際に前歯が噛み合わず隙間ができる開咬(かいこう)と呼ばれる噛み合わせも見られました。 以上のことから、抜歯後に歯を補う治療と噛み合わせを改善するための治療が必要と診断しました。 |
| 治療内容 |
診断結果を丁寧に説明したうえで、抜歯したあとの歯を補う治療方法として以下3つを提案しました。
①両隣の歯を削り橋のように被せ物をつなげて補うブリッジ ②取り外し式の入れ歯 ③ 人工の歯根を骨に埋め込み、その上に歯を装着するインプラント治療
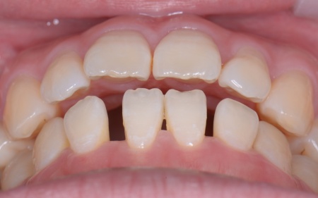
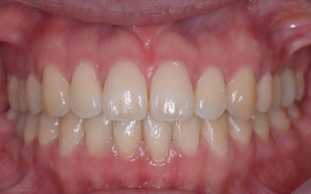
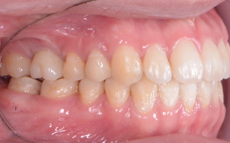
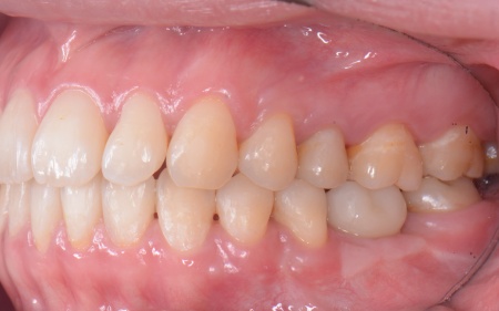
患者様は「健康な歯をできるだけ守りたい」との理由から、③のインプラント治療を希望されました。 まず、右上と左下の奥歯を抜歯しました。 矯正がある程度進んだ段階で、右上と左下のインプラント手術を実施しました。 インプラント手術後は矯正治療の仕上げを行い、装置を外しています。 治療終了後、下前歯の間に見られる三角形のすき間(ブラックトライアングル)が気になるとのご相談がありました。 |
| 治療期間 | 約2年 |
| 費用 | 約2,100,000円 【内訳】 矯正治療、ソケットリフト、GBR、インプラント2本 |
| 治療のリスクについて | ・矯正治療中、装置によってまれに頬の内側が傷つき、口内炎になる場合があります ・歯の移動に伴って、違和感や痛みを感じる場合があります ・正しいブラッシングやメンテナンスを行わない場合、虫歯や歯周病のリスクが高まります ・インプラントは外科手術のため、術後に痛みや腫れ、違和感を伴います ・メンテナンスを怠ったり、喫煙したりすると、お口の中に大きな悪影響を及ぼし、インプラント周囲炎等にかかる可能性があります ・ダイレクトボンディングは強い力や衝撃が加わった場合、割れたり欠けたりする可能性があります |
















