| 患者 | 30代女性 |
|---|---|
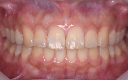
| 相談内容 | 「上前歯が前に飛び出し、下前歯はデコボコしている。噛み合わせが悪く、安定していない。また、歯ぎしりがひどいのも気になっている」とご相談いただきました。 |
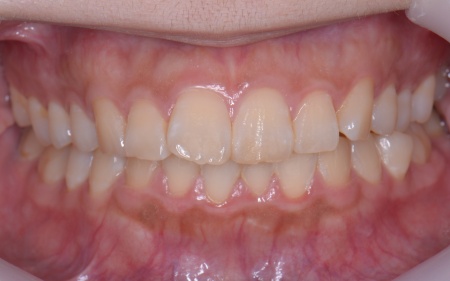
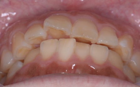
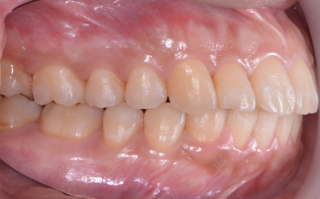
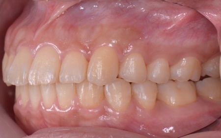
| カウンセリング | 拝見したところ、上前歯が前に傾いて生えており、口元が出ている「上顎前突」が認められました。 また、下前歯の歯並びが乱れています。 さらに、左奥歯は上下の歯が当たらずに噛めていない「咬合(こうごう)接触不全」になっており、全体的に噛み合わせが不安定でした。 以上のことから、噛み合わせと歯並びを改善するための矯正治療が必要だと診断しました。 |
| 治療内容 |
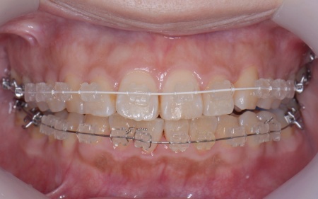
患者様には、歯の表面に「ブラケット」と呼ばれるボタン状の装置を接着して、そこにワイヤーを通して歯を動かす矯正治療を提案し、同意いただきました。
メリット デメリット 患者様は、上奥歯が通常より前側に生えており、上下の噛み合わせに前後差がある「アングルⅡ級」という状態でした。口元のバランスをしっかり整えることを考えると、上下奥歯(小臼歯)を抜く治療が適切ですが、患者様は非抜歯矯正を希望されました。 まず、上下の歯には白くて目立ちにくい「セラミックブラケット」を接着します。上顎のみ審美性の高い白いワイヤーを使用して、矯正治療を開始しました。 次に、上顎の左右に歯を後方へ移動させる際の固定源となる小さなネジ「アンカースクリュー」を埋入します。 矯正終了後には、歯ぎしりが原因で大きくすり減っていた犬歯に対し、樹脂で形を整える「コンポジットレジン修復」を施しています。 続いて、歯並びの後戻りを防ぐため、上下前歯の裏側に固定式の保定ワイヤー「T‑fix」を装着しました。 |
| 治療期間 | 約1年2ヶ月 |
| 費用 | 約1,000,000円 |
| 治療のリスクについて | ・治療中、発音しにくい場合があります ・治療中、舌が動かしにくいことがあります ・治療中、装置によってまれに頬の内側が傷つき、口内炎になる場合があります ・歯の移動に伴って、違和感や痛みを感じる場合があります ・冷たいものを飲んだときに歯がしみる「知覚過敏」の症状が出る場合があります ・正しいブラッシングやメンテナンスを行わない場合、虫歯や歯周病のリスクが高まります |














