| 患者 | 40代女性 |
|---|---|
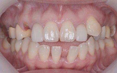
| 相談内容 | 「左下の奥歯が欠けたのと、右上の差し歯が取れた」とご相談いただきました。 |
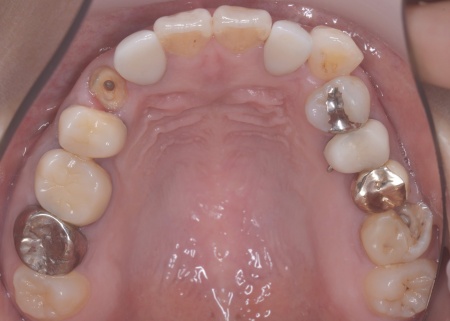
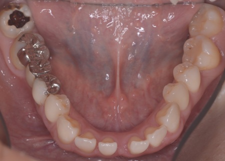
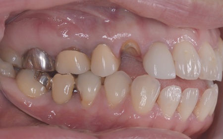
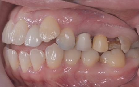
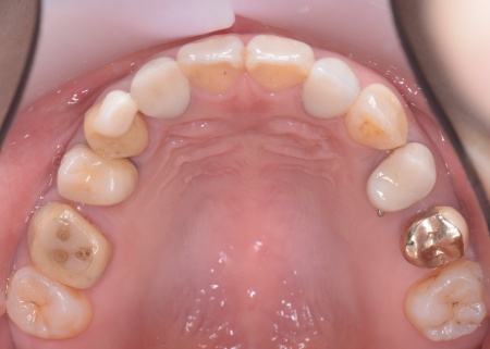
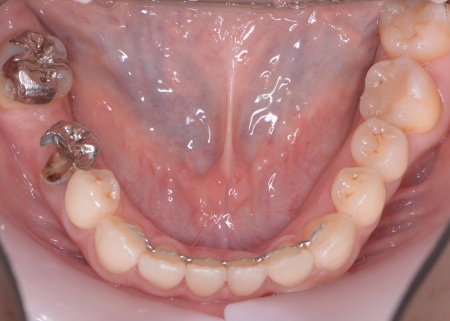
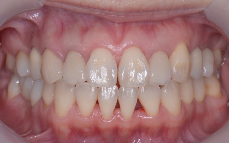
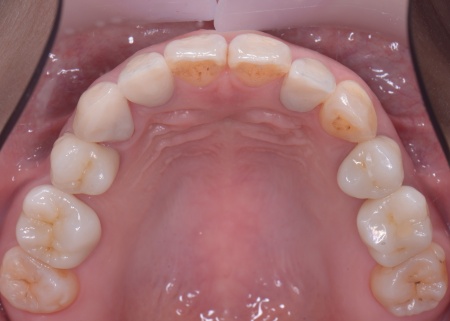
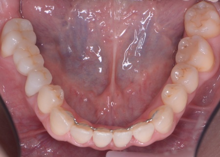
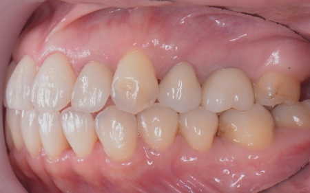
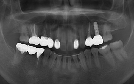
| カウンセリング | 拝見したところ、左下と右上の歯はともに大きな虫歯があり、歯だけでなく被せ物を支える土台の部分にも影響が及んでいました。
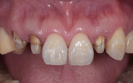
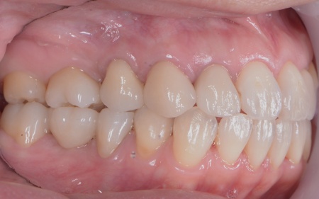
さらに、ほかの歯に入っている詰め物や被せ物の周囲にも、過去に治療した部分に再び虫歯ができる二次カリエスが複数見つかりました。 また、噛み合わせを確認したところ、奥歯で噛み合わせた際に上下の前歯が当たらず隙間ができる開咬(かいこう)が認められました。 実際に患者様の場合も、特定の歯に長期間強い力がかかり続けたことで歯や修復物の破損、さらには口腔内全体のトラブルにつながった可能性が高いと考えられました。 修復治療が必要でしたがこの噛み合わせの問題を改善しないまま行うと、治療した歯に再び過度な力が加わって被せ物の破損・脱離や虫歯の再発を招くリスクが高まります。 |
| 治療内容 |
まずは矯正治療を優先し、噛み合わせが整ってから虫歯の再発リスクの低いセラミックの被せ物・詰め物などで歯の形態と機能を回復する方針を提案し、同意いただきました。
矯正治療については、専門的な診断と管理が必要と判断したため専門の矯正歯科医院をご紹介し、他院にて実施していただきました。 矯正治療終了後、改めてお口の中を確認したうえで、歯の状態に合わせ虫歯の除去や土台の修復を丁寧に行い、精密な型取りを実施しています。 最後に噛み合わせ全体のバランスを確認しながら新しく作製した被せ物や詰め物を装着し、見た目に問題がないか、噛み合わせが安定しているかを確認し、治療を終了しました。 |
| 治療期間 | 約3年半 (矯正治療約2年半) |
| 費用 | 約1,600,000円 (矯正治療を除く) |
| 治療のリスクについて | ・装着に際し、天然歯を削る場合があります ・硬い素材の場合、他の天然歯を傷つけることがあります ・噛み合わせや歯ぎしりが強い場合、セラミックが割れる可能性があります ・一部の治療を除き、自費診療(保険適用外治療)です |















