| 患者 | 30代女性 |
|---|---|
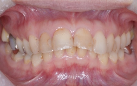
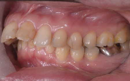
| 相談内容 | 「昔から出っ歯が気になっていて、治したいと思っていた。また、噛み合わせが悪く奥歯に負担がかかっていて、噛むと痛いことがある」とご相談いただきました。 |
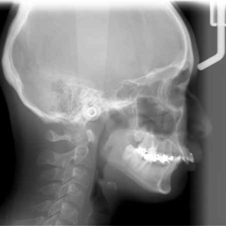
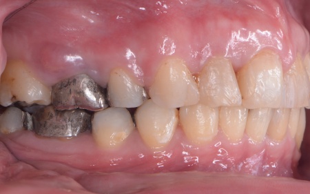
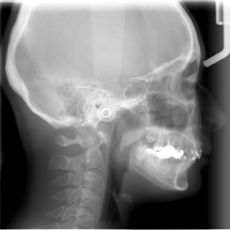
| カウンセリング | 拝見したところ、上前歯が大きく前に出ている上顎前突であり、上下の前歯が噛み合わずに口を閉じても前歯同士が接触しない「開咬(かいこう)」の状態でした。 レントゲン撮影をして詳しく調べた結果、歯の位置だけでなく、骨格的な問題があることが分かりました。 また、前歯で食べ物をうまく噛み切ることができないため、奥歯にも強い負担がかかっているだけでなく、このまま放置すると、奥歯がすり減ったり痛みが生じたりするリスクもあります。 以上のことから、噛み合わせを改善する治療が必要だと診断しました。 |
| 治療内容 |
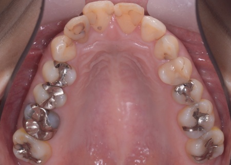
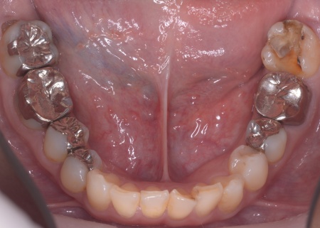
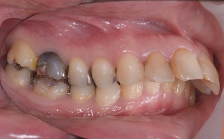
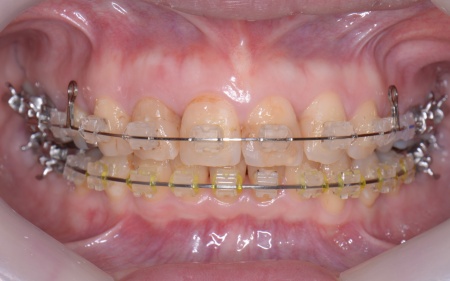
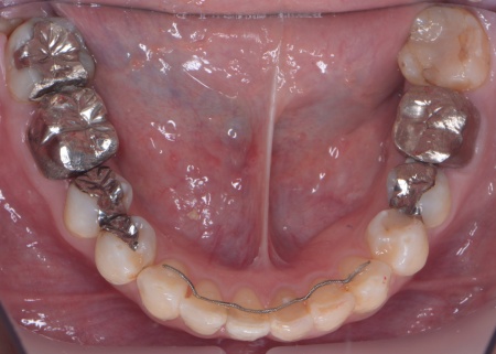
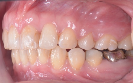
患者様の場合、骨格的な上顎前突が噛み合わせを乱している主な原因であることから、矯正治療では前歯を後方へ大きく動かすためのスペースを確保する必要があります。 そのため、今回は以下2つの方法を提案しました。 ①抜歯後、アンカースクリューを用いたワイヤー矯正 メリット:骨格的な上顎前突に対応しやすく、前歯を大きく後方へ動かすことができる ②取り外し可能な装置を使用するマウスピース矯正 メリット:装置が透明で目立ちにくく、取り外しができる 以上のメリットとデメリットを丁寧にお伝えしたところ、患者様は①のアンカースクリューを用いたワイヤー矯正を選択されました。 まず、上顎の左右奥歯を抜き、前歯を後方に動かすためのスペースを確保します。 治療の結果、前歯が正しく噛み合うようになり、横顔のバランスも整いました。 矯正治療終了後は、歯が元の場所に戻らないよう上下前歯に保定装置(リテーナー)を装着し、治療を終了しています。 |
| 治療期間 | 2年6ヶ月 |
| 費用 | 約1,000,000円 |
| 治療のリスクについて | ・治療中、発音しにくい場合があります ・治療中、舌が動かしにくいことがあります ・治療中、装置によってまれに頬の内側が傷つき、口内炎になる場合があります ・冷たいものを飲んだときに歯がしみる「知覚過敏」の症状が出る場合があります ・持病をお持ちの方や、服用中のお薬の種類によっては、外科処置ができない場合があります ・外科処置後に痛みが長引く場合があります。必要に応じ痛み止めを併用します |













