| 患者 | 60代男性 |
|---|---|
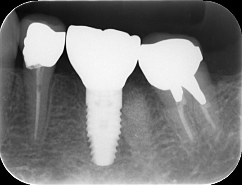
| 相談内容 | 左奥歯が咬むと痛いとのことで来院されました。 |
| カウンセリング | 奥歯は歯根破折をおこしていたため保存不可能な状態でした。 |
| 治療内容 | 隣在歯が健康な歯であったため、ブリッジではなくインプラント治療を選択されました。治療期間を短縮するため抜歯と同時に骨再生、インプラント埋入を行いました。型取りは高精度の口腔内スキャナーを用いてデジタルで行い、精密なセラミック修復を行いました。 術後の経過は良好で、短期間で歯が蘇り満足していただけました。 |
| 治療期間 | 約4ヶ月 |
| 費用 | 奥歯インプラント1本45万円(税別) 骨再生術 5万円(税別) |
| リスク | ・セラミックの使用環境によって外れてしまうことがあります。 ・セラミックも十分なメンテナンスを行わないと、周辺の歯から虫歯になることがあります。 ・強い食いしばりや硬度の高いものを誤って噛むと割れてしまうこと があります。 ・外科手術のため術後に腫れや痛み、違和感を伴います。 ・メンテナンスを怠るとインプラント周囲炎等にかかる可能性があります。 |








